
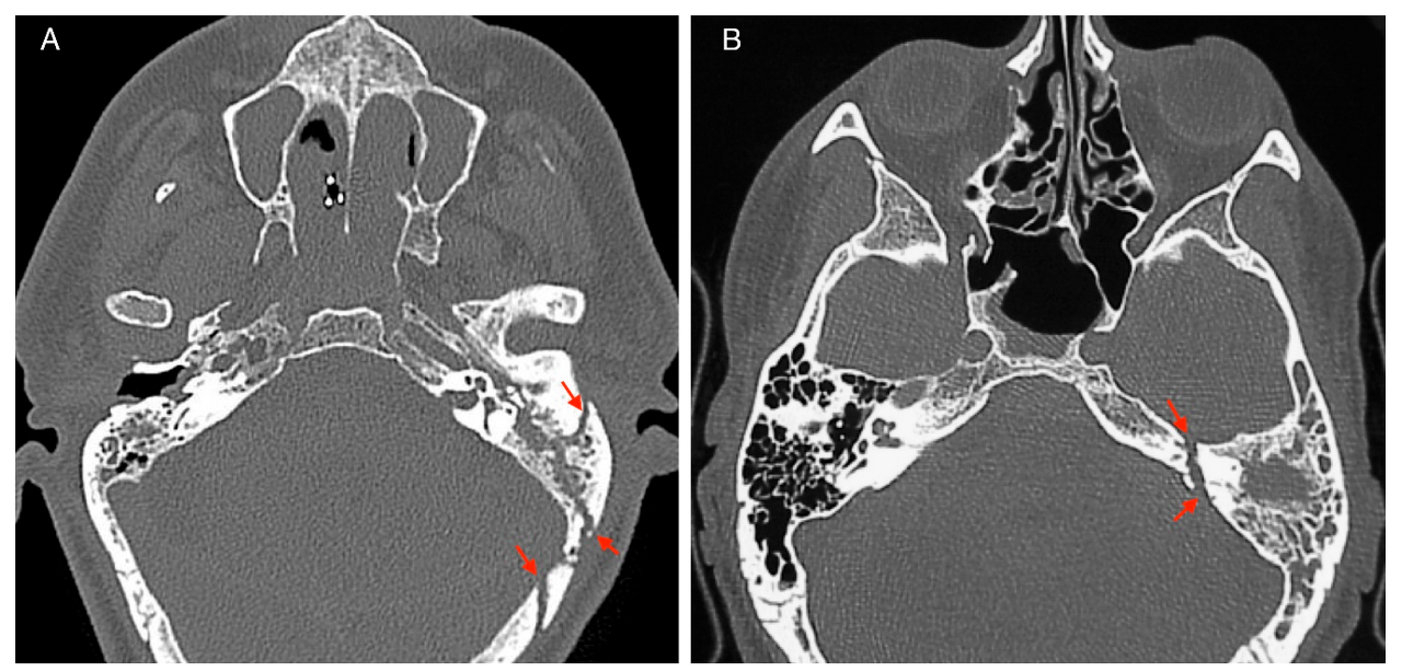
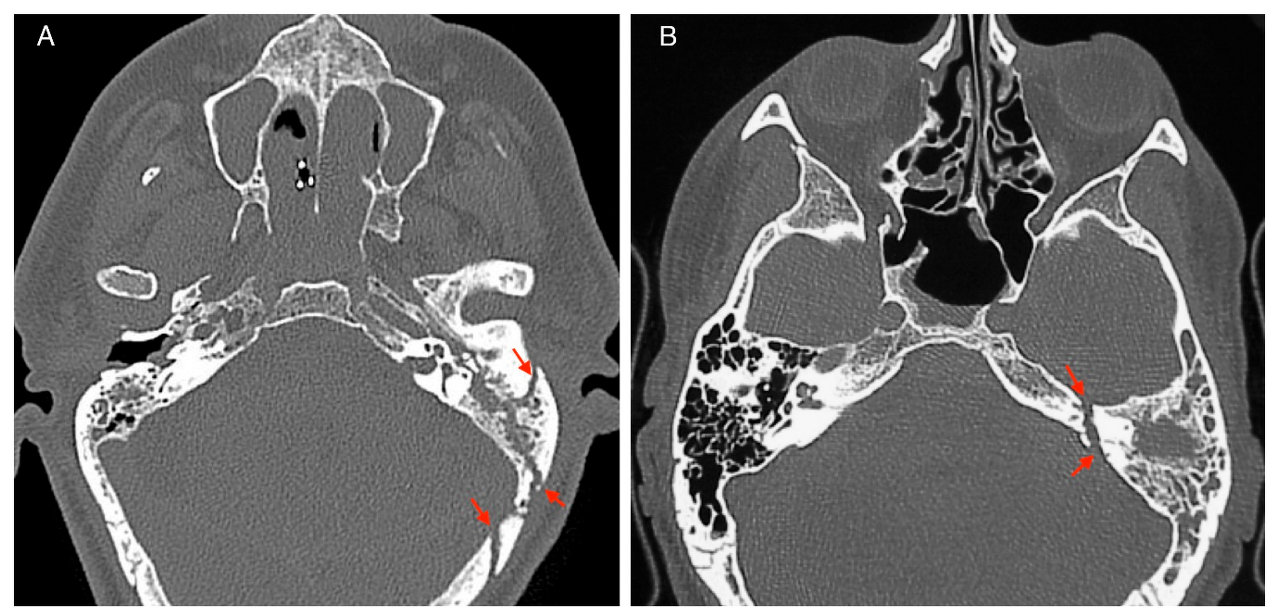
측두골 골절은 두개골의 측면과 기저부에 위치한 측두골의 골절 또는 골절을 말합니다. 측두골 골절은 일반적으로 자동차 사고, 추락 또는 폭행과 같은 심각한 머리 외상의 결과로 발생합니다. 측두골 골절이 의심되는 증상과, 합병증, 치료에 걸리는 기간에 대해 알아보겠습니다.
측두골 골절 증상
측두골 골절은 다양한 원인으로 인해 발생할 수 있으며, 의심되는 증상은 다음과 같을 수 있습니다.
통증: 골절 부위 주변에서 심한 두통이나 근육 통증이 나타날 수 있습니다. 특히 부상 직후에 통증이 심할 수 있으며, 손을 두드리거나 압박 시 통증이 증가할 수 있습니다.
종음(경련): 측두골 골절로 인해 근육이나 신경이 자극될 경우, 머리나 얼굴의 통증과 함께 경련이 발생할 수 있습니다. 좋음은 얼굴 근육의 비정상적인 수축으로 특징지어집니다.
혈액이나 진액의 이물질 배출: 측두골 골절로 인해 뇌의 보호막이 손상될 경우, 이물질인 혈액이나 뇌척수액(CSF)이 귀에서 혹은 코에서 배출될 수 있습니다. 이러한 증상은 부상 직후 또는 몇 시간 이후에 나타날 수 있습니다.
귀 이상: 측두골 골절로 인해 내이염(중이염)이 발생할 수 있으며, 이로 인해 귀에서 통증, 분비물, 이명(귀울림), 청력 저하 등의 증상이 나타날 수 있습니다.
시력 변화: 심각한 측두골 골절의 경우 눈과 관련된 문제가 발생할 수 있습니다. 시력 저하, 이중 시야, 안구 운동 장애 등이 나타날 수 있습니다.
위에서 언급한 증상들은 측두골 골절을 의심할 수 있는 증상이지만, 정확한 진단을 위해서는 의료 전문가의 평가와 영상 검사가 필요합니다. 측두골 골절을 의심하는 경우, 가능한 한 빨리 의료진과 상담하여 신속하고 적절한 치료를 받을 수 있도록 해야 합니다.
측두골 골절 합병증
측두골 골절의 합병증은 골절의 심각성과 위치에 따라 달라질 수 있습니다. 다음은 몇 가지 잠재적인 합병증입니다:
난청: 달팽이관이나 청각 신경을 포함한 내이의 구조가 손상되면 부분적이거나 완전한 난청으로 이어질 수 있습니다.
균형 문제: 내이 또한 균형을 유지하는 데 결정적인 역할을 합니다. 측두골 골절은 전정계의 기능을 방해하여 현기증, 현기증, 균형감각 곤란을 초래할 수 있습니다.
안면 신경 손상: 안면 신경은 측두골을 통과합니다. 골절은 신경을 다치게 할 수 있으며, 이로 인해 얼굴이 약해지거나 얼굴의 영향을 받는 쪽이 마비될 수 있습니다.
뇌척수액(CSF) 누출: 중이나 내이로 확장되는 골절은 뇌의 보호 덮개인 수막을 파괴할 수 있습니다. 이로 인해 CSF가 누출될 수 있으며, 이는 귀나 코에서 배출되는 맑은 액체로 보일 수 있습니다.
외상성 뇌손상: 심각한 측두골 골절은 두개 내 출혈, 타박상 또는 붓기를 포함한 뇌 손상과 관련될 수 있습니다. 이러한 뇌 손상은 추가적인 합병증을 일으킬 수 있으며 전문적인 치료가 필요합니다.
측두골 골절의 예후는 골절의 정도, 관련된 부상, 그리고 치료의 신속성과 효과에 따라 달라집니다. 경미한 골절은 보수적인 관리로 잘 치유될 수 있는 반면, 심각한 골절은 수술적인 개입이 필요할 수 있습니다.
어떤 사람들은 장기적인 합병증 없이 완전한 회복을 경험할 수 있는 반면, 어떤 사람들은 지속적인 증상이나 장애를 가질 수 있습니다. 청력손실, 균형문제, 안면신경손상 및 기타 합병증의 범위는 예후에 상당한 영향을 미칠 수 있습니다. 결과를 개선하기 위해 보청기, 물리치료 또는 외과적 개입과 같은 재활 및 전문치료가 필요할 수 있습니다. 골절 및 관련부상의구체적인 세부사항을 기반으로 종합적인 평가와 개인화된 예후를 위해 의료전문가와 상담하는 것이 중요합니다.
측두골 골절의 회복기간
측두골 골절의 회복 기간은 골절의 정도와 위치, 개인의 건강 상태 등에 따라 다를 수 있습니다. 일반적으로 측두골 골절은 치료와 회복에 몇 주에서 몇 개월이 걸릴 수 있습니다. 경미한 골절의 경우, 보다 보수적인 치료 방법이 적용될 수 있습니다. 이 경우, 약 6주에서 3개월 정도의 시간이 소요될 수 있습니다. 이 기간 동안 골절 부위가 안정화되고 치료가 이루어지며, 통증이 완화되고 조직이 회복될 수 있습니다. 그러나 심한 골절이나 골절이 다른 부위나 조직에 영향을 준 경우, 수술이 필요할 수 있습니다. 수술 후 회복 기간은 개인의 상태와 수술의 복잡성에 따라 달라질 수 있으며, 수개월에서 1년 이상의 기간이 걸릴 수 있습니다. 회복 기간 동안 치료 및 재활과정을 준수하는 것이 중요합니다. 이로써 조직의 치유를 돕고, 통증을 완화하고, 기능을 회복시킬 수 있습니다. 의료 전문가의 지침에 따라 치료를 받고, 재활 운동 및 신체 치료를 진행하는 것이 좋습니다. 하지만 회복기간은 개인마다 다를 수 있으므로, 의료전문가와 상담하여자신의 상황에 맞는 예상회복기간과 후속관리계획을 확인하는 것이 가장 좋습니다.
댓글